Ngứa Da Nổi Mề Đay Có Phải Do Nhiễm Giun Sán Không?
Ngứa Da Nổi Mề Đay Có Phải Do Nhiễm Giun Sán Không? Một trong những nguyên nhân được cho là ngứa da, nổi mề đay, dị ứng, mẩn đỏ khắp người, hay nổi mẩn...
Xem: 1045703Cập nhật: 08.02.2023
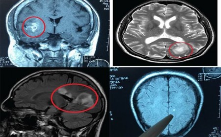
Dấu Hiệu Nhận Biết Sán Lên Não
Dấu hiệu nhận biết sán lên não. Bệnh giun đũa chó mèo hay bà con thường gọi là bệnh sán chó có tên khoa học là Toxocara do một loài giun tròn thường ký sinh ở...
Xem: 80348Cập nhật: 20.01.2023
Dấu hiệu nhận biết bệnh sán chó Toxocara
Dấu hiệu nhận biết bệnh sán chó Toxocara. Ngoài ngứa da thì còn có những dấu hiệu bệnh sán chó khác như trong thể ấu trùng di chuyển đến mắt thì thể này gặp...
Xem: 142109Cập nhật: 29.07.2022
Điều Trị Bệnh Sán Chó Tại Phòng Khám Bệnh Giun Sán Ánh Nga
Các thể bệnh khi bị nhiễm sán chó bao gồm: Hội chứng ấu trùng di chuyển nội tạng trong đó có não. Hội chứng ấu trùng di chuyển đến mắt. Thể thông thường...
Xem: 115604Cập nhật: 09.06.2021
BỆNH SÁN CHÓ MÈO GIA TĂNG CAO
Nhiễm bệnh sán chó mèo là bệnh do ký sinh trùng gây ra ,có thể có nhiều nguyên nhân nhưng chủ yếu là do người bệnh tiếp xúc với chó, mèo chưa được tẩy giun...
Xem: 91927Cập nhật: 15.05.2021
MỘT SỐ THÔNG TIN CHUNG VỀ BỆNH SÁN CHÓ
Bệnh sán chó Toxocara là một nhiễm trùng lây truyền từ động vật sang người qua đường miệng. Khoảng 80% là lây nhiễm từ chó ( Toxocara canis ), 20% lây nhiễm từ...
Xem: 90949Cập nhật: 09.04.2021
Tham khảo thêm dấu hiệu nhận biết bệnh sán chó
Tham khảo thêm dấu hiệu nhận biết bệnh sán chó. Nhiễm bệnh sán chó thường ít nghiêm trọng nếu chữa trị sớm ngay khi phát hiện bệnh. Khi điều trị các dấu...
Xem: 106989Cập nhật: 04.02.2021
BỆNH SÁN CHÓ - NHỮNG BIỂU HIỆN THƯỜNG GẶP
Người bị bệnh sán chó thường có những biểu hiện khiến người bệnh lầm tưởng với các bệnh lý hoặc những vấn đề khác về da liễu. Khi nhiễm sán chó ở...
Xem: 96898Cập nhật: 08.01.2021
THANH NIÊN 19 TUỔI CHẾT VÌ BỆNH SÁN CHÓ
Bệnh nhân 19 tuổi thường xuyển bị đau đầu, uống thuốc không khỏi và thường xuyên bị ngứa da và nổi mề đay. Sau đó xét nghiệm ký sinh trùng và bệnh nhân...
Xem: 192767Cập nhật: 31.12.2020
Trị Bệnh Sán Chó Có Khỏi Bệnh Ngứa Da Không?
Khi Trẻ Bị Dị Ứng Da Cần Làm Xét Nghiệm Gì Tìm Nguyên Nhân Dị Ứng Da
Điều trị bệnh sán lá gan ở đâu?
Mẩn Ngứa Da Nổi Mề Đay Có Phải Do Nhiễm Giun Sán Không?
Bị Ngứa Da Và Những Điều Cần Biết Về Bệnh Ngứa Kéo Dài Do Giun Sán
Cách Trị Bệnh Dị Ứng Da Lâu Ngày Hiệu Quả Tại Phòng Khám Chuyên Khoa
Dấu hiệu nào nhận biết bệnh giun đũa chó mèo Toxocara?
Những điều cần biết về bệnh giun đũa chó mèo
Bệnh Chàm Và Những Yếu Tố Liên Quan Đến Bệnh Giun Sán
Dấu Hiệu Ngứa Da, Dị Ứng, Nổi Mề Đay Do Nhiễm Sán Chó Trong Máu
Bác sĩ Nguyễn Ngọc Ánh Phòng Khám Ánh Nga Đề Tài Nghiên Cứu Khoa
Xét Nghiệm Giun Sán Gồm Những Loại Nào? Chi Phí Bao Nhiêu?
Người Đàn Ông Phát Ban Mẩn Đỏ Khắp Người, Sau Ba Tháng Mới Tìm Ra Nguyên Nhân
Đau Mắt Đỏ, Nguyên Nhân Và Cách Điều Trị
HÀ NỘI – PHÁT BAN MẨN ĐỎ KHẮP NGƯỜI, ĐI KHÁM PHÁT HIỆN NHIỄM KÝ SINH TRÙNG
Ăn hải sản sống, coi chừng nhiễm giun sán
TỔNG QUAN VỀ KÉM HẤP THU THỨC ĂN
HÀ NỘI – NHIỄM BA LOẠI KÝ SINH TRÙNG DO THÓI QUEN ĂN MỘT MÓN ĂN SÁNG
ẤU TRÙNG SÁN CHÓ DI CHUYỂN QUA DA GÂY NGỨA
Tại sao khám bệnh viện da liễu nhiều năm không hết ngứa?
Địa Chỉ Chữa Bệnh Giun Sán Chó Uy Tín Tại Hà Nội
SÁN TRONG NÃO GÂY RA CÁC TRIỆU CHỨNG NHƯ TÂM THẦN
Địa Chỉ Điều Trị Bệnh Sán Dây Uy Tín Tại Hà Nội
Bị Ngứa Nổi Mẩn Toàn Thân Do Giun Sán, Người Phụ Nữ Đầu Hàng Vì Trị Nhiều Lần Không Khỏi
NHIỄM TRÙNG NÃO DO AMIP, VIÊM MÀNG NÃO DO AMIP NGUYÊN PHÁT
BÍ QUYẾT GIÚP ĐƯỜNG RUỘT KHỎE LẠI
Trị Bệnh Hôi Miệng Do Nhiễm Ký Sinh Trùng Giun Sán
Có Nên Quá Lo Lắng Khi Bị Ngứa Kéo Dài Do Nhiễm Giun Đũa Chó Mèo?
TÔI KHÔNG NGỜ ĐẾN MÌNH CŨNG BỊ NHIỄM SÁN CHÓ
Viêm Da Dị Ứng Kéo Dài Tôi Chỉ Mong Tìm Được Nguyên Nhân Để Chữa Trị.
Mẩn Ngứa Da Do Giun Sán Cách Phát Hiện Nhiễm Sán Trong Máu Gây Ngứa
Thuốc Điều Trị Giun Đũa Chó Tại Phòng Khám Chuyên Khoa Ký Sinh Trùng
Có Nên Quá Lo Lắng Khi Bị Nhiễm Bệnh Sán Chó Mèo Toxocara?
Sán chó Những Dấu Hiệu Của Bệnh Sán Chó Chớ Nên Xem Thường
Bệnh Sán Chó Mèo Ở Người Có Trị Khỏi Hoàn Toàn Được Không?
Nếu Bị Giun Đũa Chó Mèo Điều Trị Ở Đâu Bao Lâu Thì Khỏi?
Lý Do Tại Sao Bệnh Sán Chó Lại Gây Ngứa Kéo Dài?
Những Điều Cần Biết Về Bệnh Ngứa Da Do Giun Đũa Chó Mèo
Cách Nhận Biết Nổi Mẩn Đỏ Ngứa Do Nhiễm Giun Sán
Ngứa Da Nổi Mề Đay Có Phải Do Nhiễm Giun Sán Không?
Dấu Hiệu Nhận Biết Sán Lên Não
NHỮNG ĐIỀU CẦN BIẾT VỀ GIUN ĐŨA, LÀM THẾ NÀO ĐỂ BIẾT ĐÃ MẮC GIUN ĐŨA
Tại Sao Trẻ Em Mắc Giun Kim Lại Ngứa Hậu Môn, Khám Trị Ở Đâu?
Bằng Cách Nào Sán Dây Chó Echinococcus Có Thể “Đột Nhập” Vào Tới Phổi Người Bệnh?
Bị Ngứa Da Do Giun Sán Dấu Hiệu Nhận Biết Và Thời Gian Điều Trị
Mắt Bị Mờ Do Giun Sán Dấu Hiệu Nhận Biết Và Thời Gian Điều Trị
Điều Trị Bệnh Sán Chó Tại Phòng Khám Bệnh Giun Sán Ánh Nga
KHI NÀO CẦN LÀM XÉT NGHIỆM KÝ SINH TRÙNG
BIẾN CHỨNG NGUY HIỂM NHẤT CỦA NỔI MỀ ĐAY KÉO DÀI LÀ GÌ?
SÁN LÁ GAN CÓ NGUY HIỂM CHO NGƯỜI ?
NHỮNG DẤU HIỆU BẠN ĐÃ BỊ NHIỄM SÁN XƠ MÍT
Cách nhận biết trẻ bị nhiễm giun sán dành cho ba mẹ
Cảnh báo những loại giun sán thường gặp ở trẻ em, cha mẹ cần đặc biệt quan tâm
THANH NIÊN 19 TUỔI CHẾT VÌ BỆNH SÁN CHÓ
Nổi mề đay do sán chó là gì và chữa trị bằng cách nào?
MÙA KHÔ KÝ SINH TRÙNG SỐT RÉT ẨN NÁU TRONG MÁU
Rận mu - Cách phát hiện và đề phòng
Bệnh ký sinh trùng lây qua đường thực phẩm
Muốn Trị Dứt Điểm Nhiễm Ký Sinh Trùng Mèo Toxoplasma Thì Phải Làm Sao
Giun Sán Gây Ngứa Da: Coi Chừng Ấu Trùng Lạc Chỗ
Điều Trị Giun Lươn Strongyloides Biến Chứng Nặng Theo Phác Đồ 15 Ngày
Biểu hiện nào cho thấy đã bị nhiễm sán chó?
Sán lá gan: Phương pháp điều trị và chi phí chữa bệnh sán lá gan
Làm thế nào để bắt con sán xơ mít dài 12 mét ra khỏi cơ thể?
Cảnh báo những loại thực phẩm có thể khiến bạn ôm hận vì sán xơ mít
Phương pháp điều trị bệnh ký sinh trùng mèo
Khám Bệnh Ký Sinh Trùng Giun Sán Ở Đâu
Tác Hại Và Triệu Chứng Của Bệnh Giun Đũa
Quy Trình Xét Nghiệm Echinococcus IgG
Một Số Điều Cần Biết Về Ký Sinh Trùng Demodex Trên Da Người
Nguyên Nhân Và Tác Hại Của Bệnh Giun Chỉ Bạch Huyết
Chẩn Đoán Và Điều Trị Bệnh Echinococcus
Những Điều Cần Biết Về Giun Hình Ống
Chẩn Đoán Và Điều Trị Bệnh Amip Ở Não
Bệnh Sán Chó Dấu Hiệu Nhận Biết Và Thời Gian Trị Bệnh Sán Chó














